
“Efectos del entrenamiento físico sobre el tejido adiposo intramuscular (IMAT) mediados por su componente celular, células precursoras fibro/adipogénicas (FAPs) y adipocitos derivados, en pacientes obesos diabéticos” es el nombre del proyecto Fondecyt de Iniciación N°11190971, que se adjudicó el académico, Dr. Marcelo Flores, de la Escuela de Kinesiología e investigador del Laboratorio de Ciencias del Ejercicio de la U. Finis Terrae.
En concreto, el docente estudiará los efectos del ejercicio sobre la formación de grasa entre medio de los músculos, las alteraciones metabólicas y funcionales del tejido muscular que ello conlleva y los mecanismos mediados por el ejercicio para reducir este tejido adiposo intramuscular.
“No sabemos qué es lo que pasa con las células madres del músculo que producen esta grasa una vez que se realiza un determinado ejercicio, y es eso lo que queremos estudiar. Puede ser que estas células a través del ejercicio entren en un proceso llamado ´apoptosis´, que es donde mueren, o que el mismo ejercicio favorezca que estas células pierdan todo su contenido graso y de alguna u otra manera dejen de generar nuevas células grasas. O sea, puedan regular la capacidad de funcionamiento de esta célula. No lo sabemos. Nadie lo sabe”, afirma Marcelo Flores.
Células madres
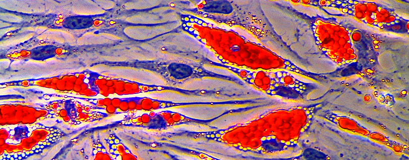
Cuenta el Dr. Flores que el 2010 se descubrió que existen células madres que viven en el músculo y que por diversas alteraciones del paciente –algunas relacionadas con la inflamación, el estado de salud del sujeto, lesiones musculares, envejecimiento, enfermedades como obesidad o diabetes– hace que estas células madres se activen y formen células grasas que comienzan a acumularse en el músculo.
“Estas células madres, al ser activadas pueden formar fibroblastos, células que sintetizan colágeno o adipocitos, células que acumulan grasas. Las células madres que habitan en los músculos son favorables, pero una vez que se activan y forman estas otras células no hay vuelta atrás, van a seguir siendo células que son negativas, y que pueden deteriorar las funciones del músculo”, dice el investigador.
El académico explica que cuando hay un proceso inflamatorio mantenido durante mucho tiempo, o cuando existe inactividad física en sujetos que son obesos o diabéticos, hay factores que circulan en la sangre que favorecen la formación de células grasas que son malas.
“El problema que tiene esa grasa es que se asocia negativamente con el estado de salud y puede aumentar el riesgo que un paciente obeso desarrolle diabetes por ejemplo, o que en pacientes durante el envejecimiento, empeore la calidad de esos músculos, porque pierden su funcionalidad, ya que no se pueden contraer de la misma manera, no pueden generar la misma fuerza”, advierte el académico de la U. Finis Terrae.
Investigación celular
El proyecto estudiará de qué manera, mecanísticamente, puede el ejercicio inducir cambios en estas células. “Este es el primer estudio que va a ir detrás de ese enfoque, considerando estas células que se han descubierto recientemente”, afirma Marcelo, quien explica que si bien hay estudios que han cuantificado los cambios de esta grasa después de un periodo determinado de ejercicio, “no sabemos qué es lo que pasa con las células madres del músculo una vez que se realiza un determinado ejercicio”, dice el investigador.
“La hipótesis de la investigación postula que pudiesen existir algunos factores u hormonas derivados del músculo en contracción que afectan directamente a estas células que viven ahí mismo, o sea por un efecto de vecindad pudiesen ayudar a que este proceso de formación de grasa intramuscular se detenga o se revierta, favoreciendo por lo tanto el desarrollo muscular”, cuenta el Dr. Flores.
Para realizar el estudio, se reclutará dos grupos de 10 a 12 sujetos para caracterizar el efecto del ejercicio en varias etapas, enfocándose en pacientes que, según la literatura, demuestran que desarrollan una mayor cantidad de tejido graso, que son pacientes obesos – diabéticos – sedentarios. Los voluntarios serán parte de un programa de entrenamiento de 12 semanas de ejercicios aeróbicos que durarán una hora, con intensidad elevada, 3 a 4 veces a la semana.
Durante la primera etapa de la investigación, se estudiará y cuantificará la cantidad de grasa intramuscular que tienen esos sujetos a través de estudios de resonancia magnética y una biopsia muscular al iniciar y finalizar el protocolo de entrenamiento, “de esta forma se podrá ver si es que el ejercicio disminuye esa grasa muscular”, explica el Dr. Flores.
En una segunda etapa, se cultivará células madres in vitro (extraídas de la misma biopsia intramuscular) para su desarrollo y estudio. “Vamos a hacer que formen células grasas y luego las estimularemos con suero extraído de los mismos sujetos tras una sesión de ejercicios (a través de una muestra de sangre) y ver si es que ese suero produce efectos in vitro”, cuenta el investigador.
El proyecto “Efectos del entrenamiento físico sobre el tejido adiposo intramuscular (IMAT) mediados por su componente celular, células precursoras fibro/adipogénicas (FAPs) y adipocitos derivados, en pacientes obesos diabéticos” tiene fecha de inicio en noviembre de 2019 y tendrá una duración de tres años.